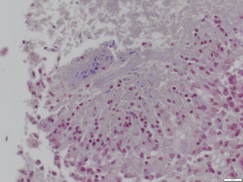
Species: Rabbit
Specimen:
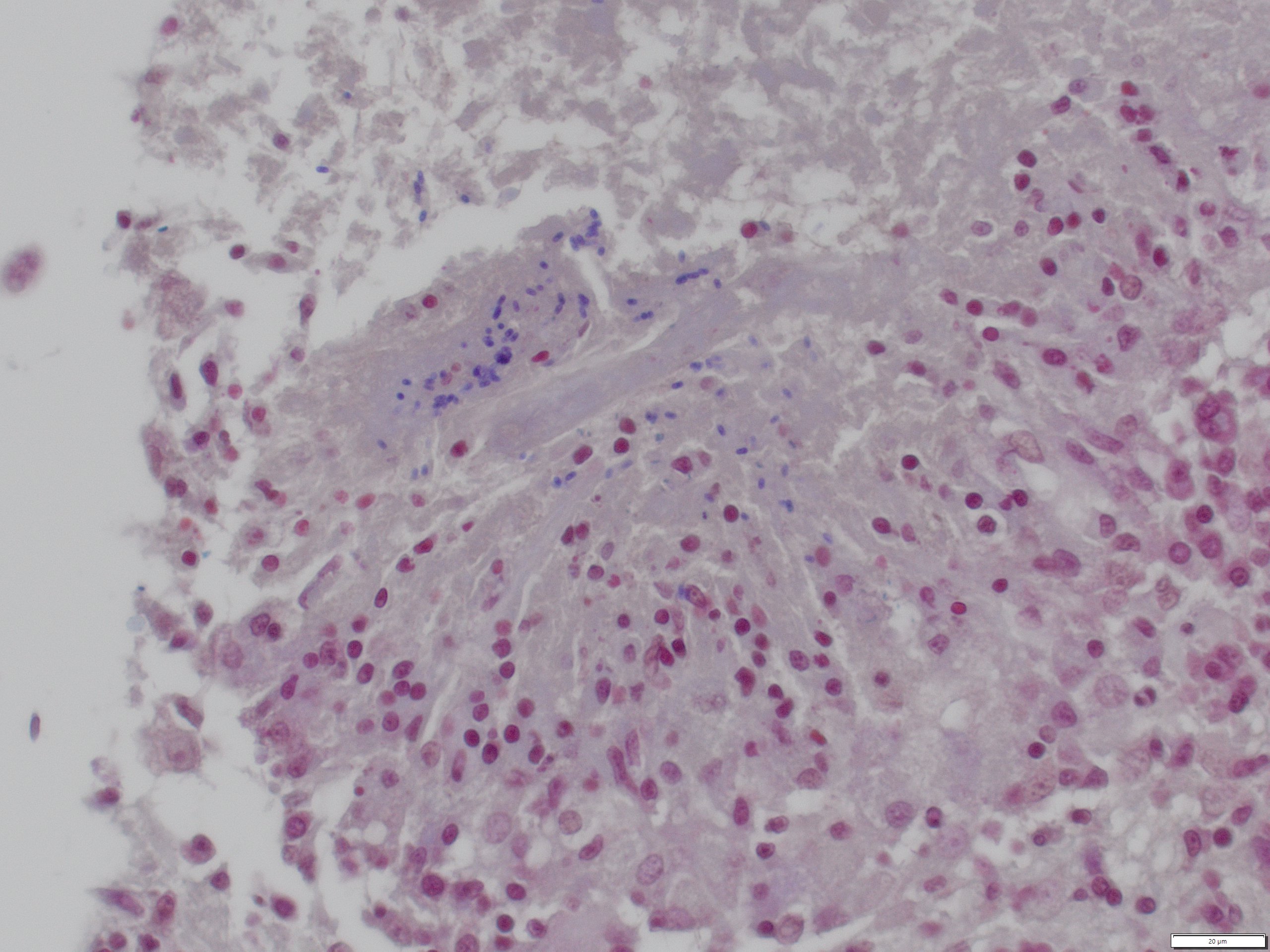
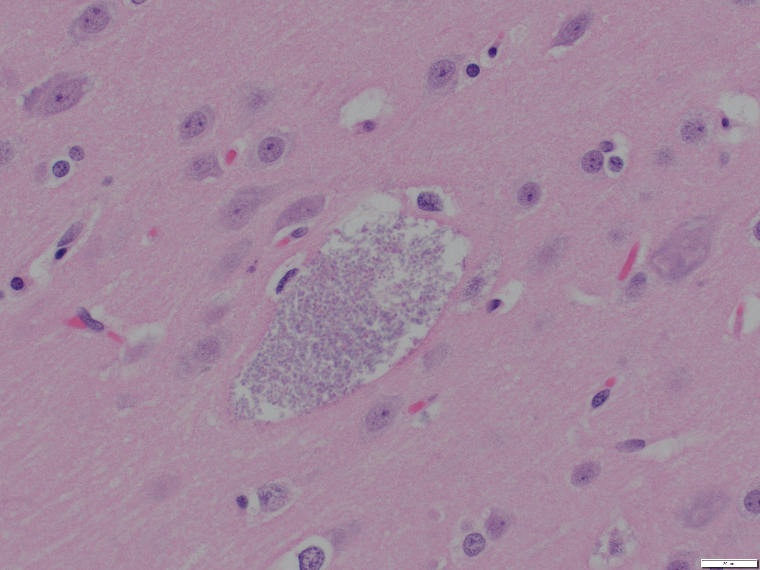
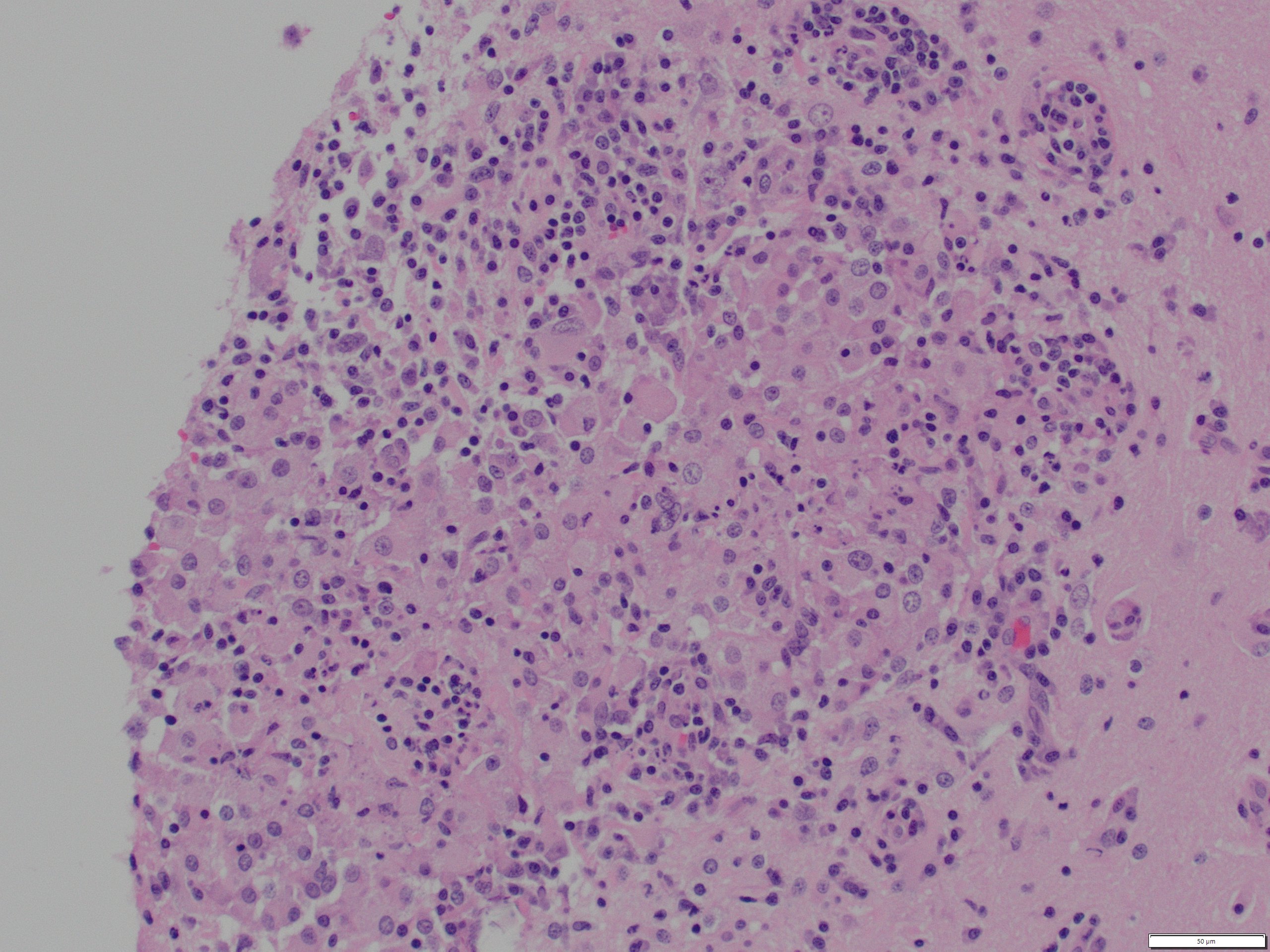
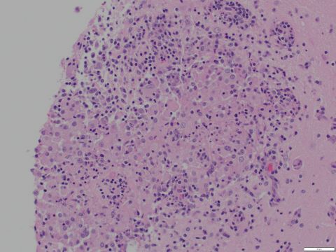
Brain
Shown:
Focal granulomatous and necrotizing encephalitis with intralesional gram positive microsporidian spores.
Comments:
Cause of death was predator trauma. Unrelated to E. cuniculi infection which was incidental.
