Dog, Puppy: Liver. Intranuclear inclusion bodies in canine infectious hepatitis.
View Item
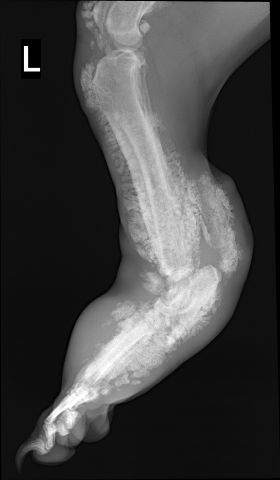
Species: Dog
Specimen: Radiograph
Shown: Hypertrophic osteopathy (Marie's disease) in pulmonary neoplasia