Dog: Liver. Metastatic sarcoma.
View Item
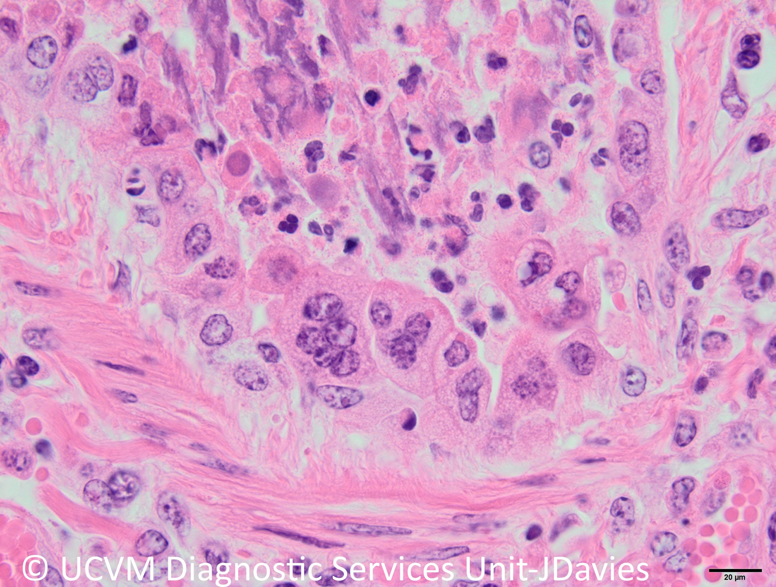
Species: Ruminant, Ox
Specimen: Lung
Shown: Bovine respiratory syncytial virus, intracytoplasmic inclusion and syncytial cells