Dog, Bulldog: Lung. Aspiration pneumonia.
View Item
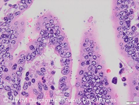
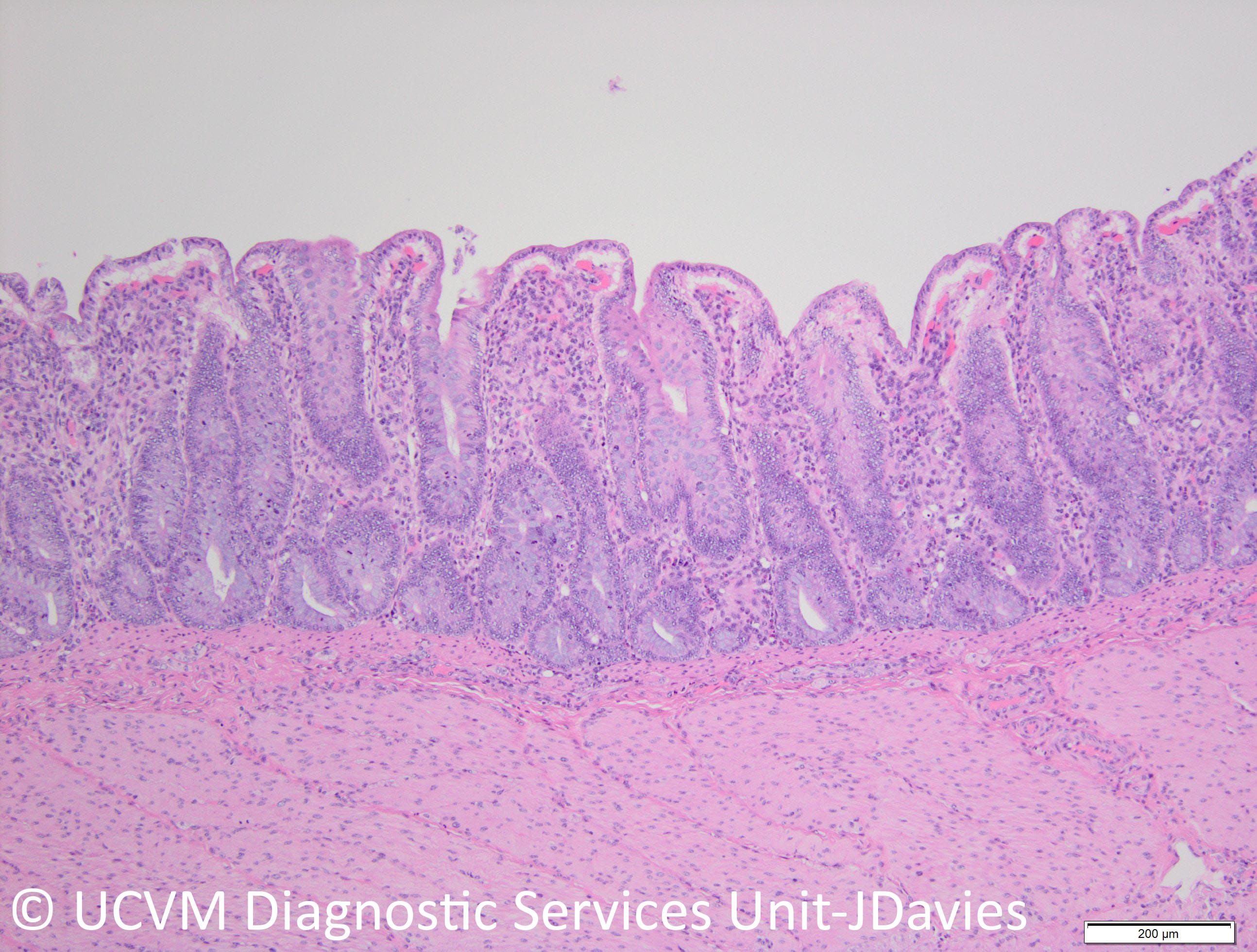
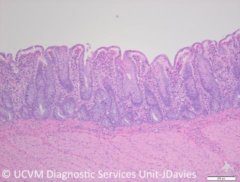
Species: Ruminant, Calf
Specimen: Small intestine
Shown: Villus atrophy in cryptosporidiosis