Cat: Intestines. Feline infectious peritonitis (FIP).
View Item
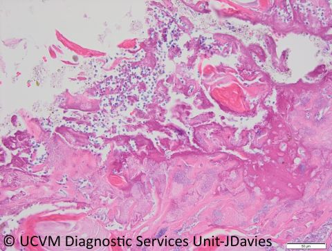
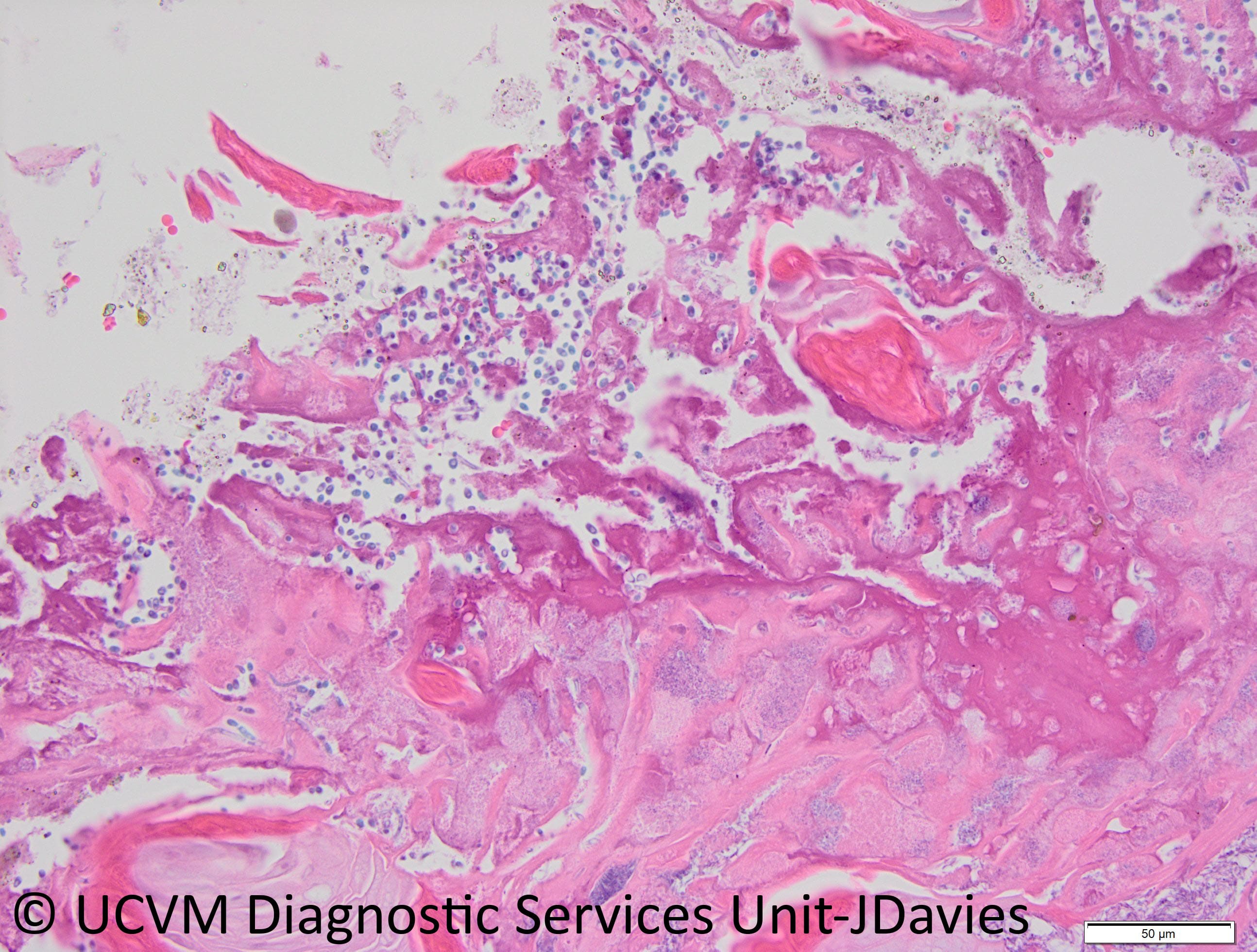
Species: Equid, Foal
Specimen: Oral cavity
Shown: Candidiasis