UCVM Online Pathology Collection
Home
Search
Wildlife
Lookup
Quiz
Resources
UCVM Access
Show Info
Cat:
Thorax. Thymoma.
View Item
H-LM-001
CN: dog8
Species:
Dog
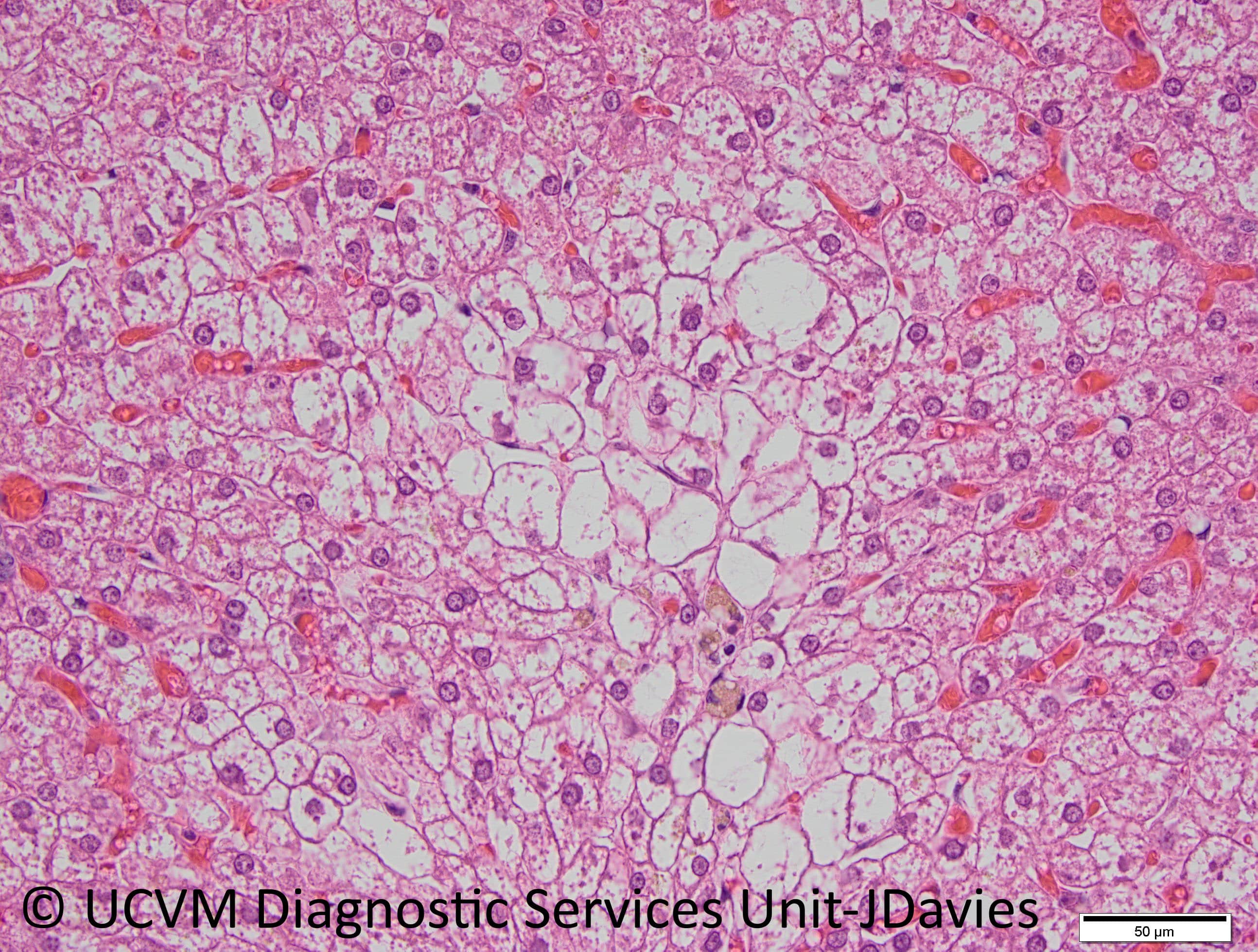
Specimen:
Liver
Shown:
Steroid hepatopathy
Back