Ruminant, Farmed Bison: Bone marrow. Serous atrophy of fat.
View Item
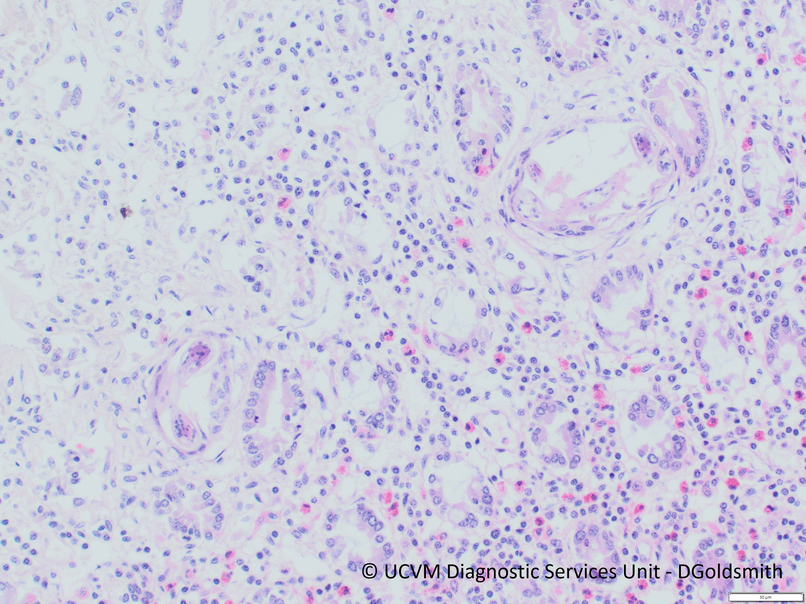
Species: Equid, Horse
Specimen: Cyathostomes in mucosa
Shown: Cyathostomes in mucosa