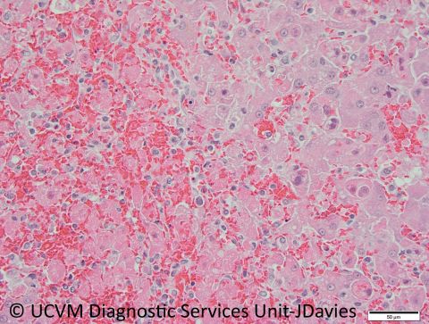
CN: 15-299
Species: Rodent, Hamster
Specimen:
Liver
Shown:
Necrotizing hepatitis caused by Clostridium piliforme, Tyzzer's disease
Species: Rodent, Hamster
Specimen:
Liver
Shown:
Necrotizing hepatitis caused by Clostridium piliforme, Tyzzer's disease