Equid, Horse: Tibia. Osteochondrosis dissecans of the distal intermediate ridges of the tibia.
View Item
Species: Equid, Horse
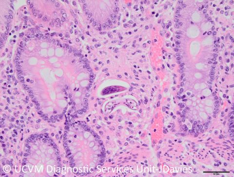
Specimen: Colon
Shown: Cyathostomiasis, L3 larvae