Wild Mammal, Cougar: Bone. Non-healing comminuted fracture.
View Item
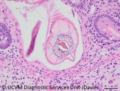
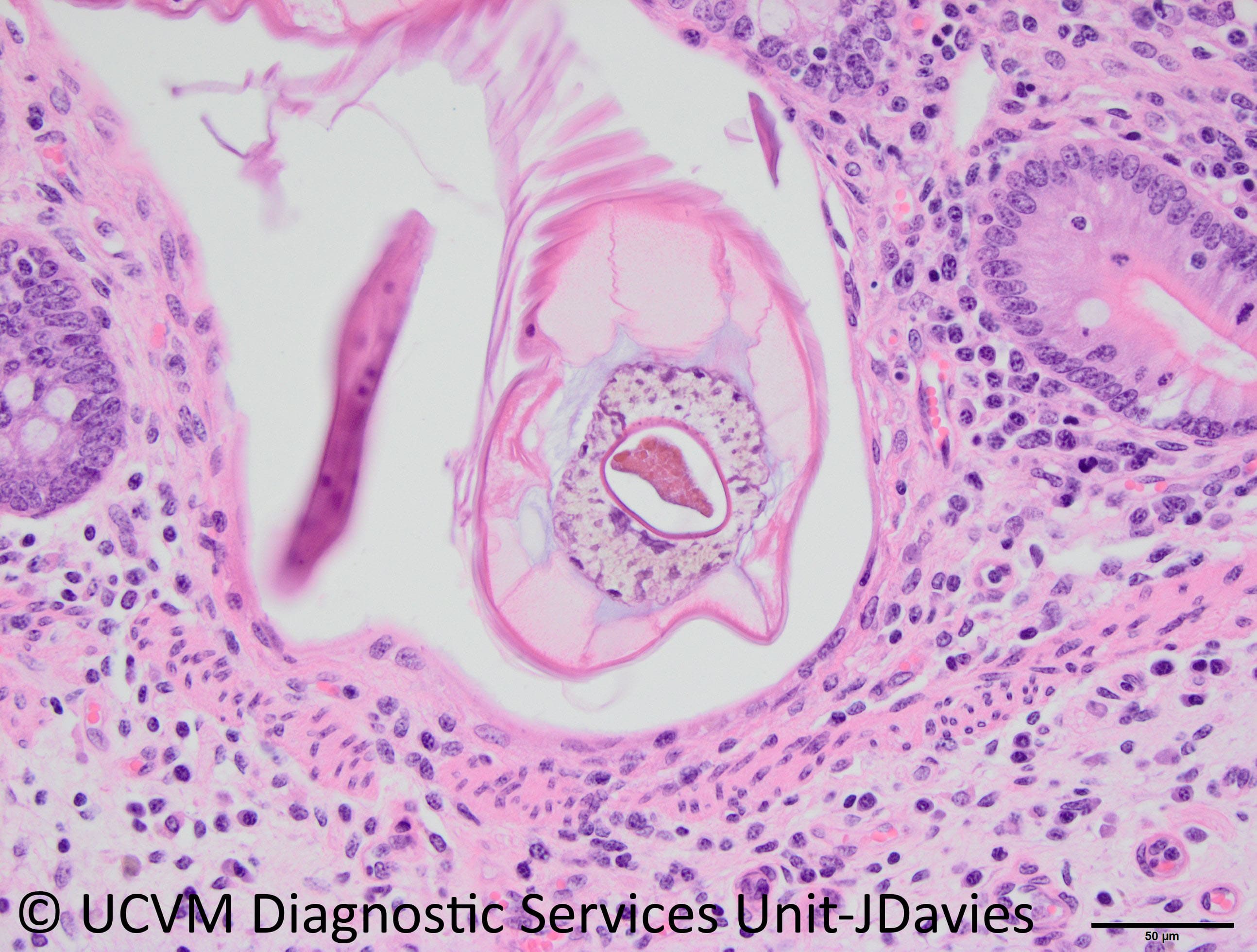
Species: Equid, Horse
Specimen: Colon
Shown: Cyathostomiasis, L4 larvae