Dog: Whole body. Azygous continuation of an interrupted caudal vena cava.
View Item
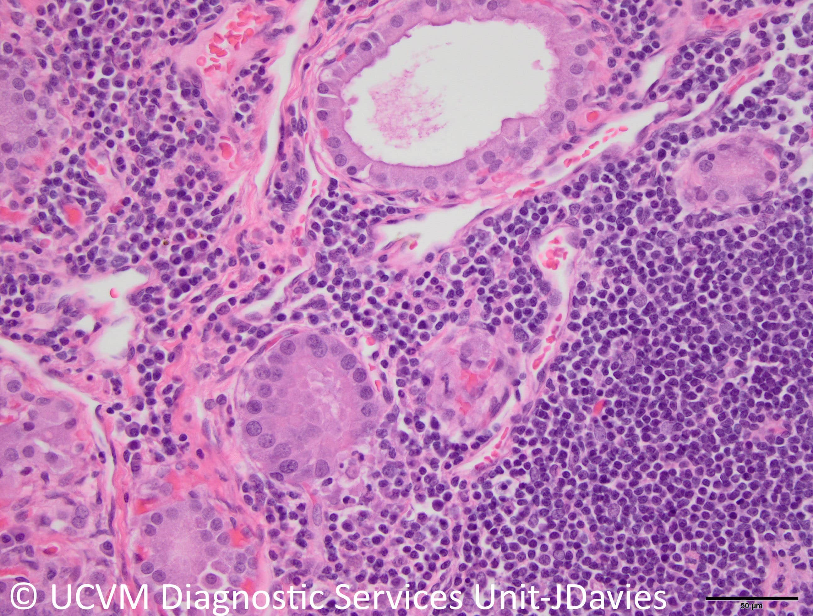
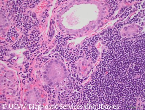
Species: Dog
Specimen: Thyroid gland
Shown: Lymphocytic thyroiditis in a dog with hypothyroidism