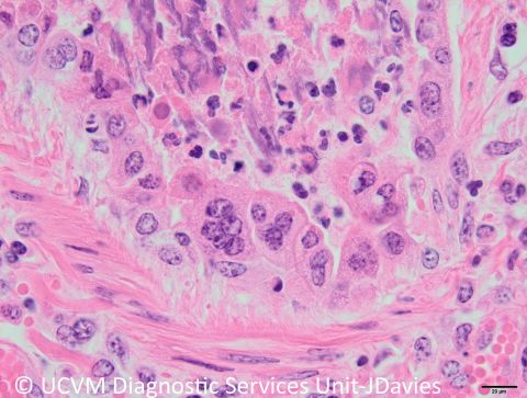
CN: 14-33
Species: Ruminant, Bovine (calf)
Specimen:
Perineum
Shown:
Undifferentiated neonatal diarrhea caused by bovine coronavirus
Species: Ruminant, Bovine (calf)
Specimen:
Perineum
Shown:
Undifferentiated neonatal diarrhea caused by bovine coronavirus