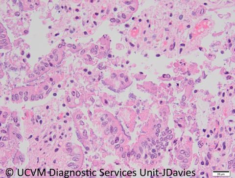
CN: 17-261
Species: Ruminant, Bovine (calf)
Specimen:
Intestine
Shown:
Necrotizing enteritis caused by enterohemorrhagic/verotoxigenic/Shiga toxin Escherichia coli
Species: Ruminant, Bovine (calf)
Specimen:
Intestine
Shown:
Necrotizing enteritis caused by enterohemorrhagic/verotoxigenic/Shiga toxin Escherichia coli