Ruminant, Ox: Lung. Petechiae associated with Mannheimia haemolytica septicemia.
View Item
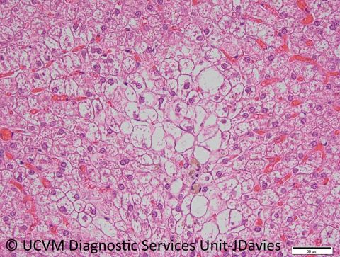
Species: Dog
Specimen: Liver
Shown: Steroid hepatopathy with iatrogenic hyperadrenocorticism